Same-Day Logistics and Setup
Get Dr. Hollidays proven process for same-day restorations.
Proven Design Workflows
Dr. Holliday will walk you through his design process that he does day in and day out. Learn a simple and repeatable workflow that can be delegated to your team for maximum efficiency and clinical precision.
Bonding and Cementation
Describe a key feature that sets you apart, solves a problem, or adds value to your users.
Building Confidence in Same-Day Restorations
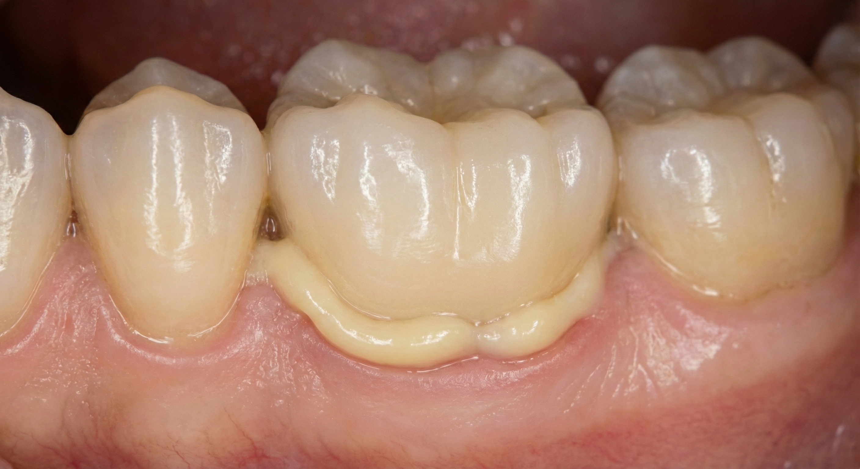
This course is your complete roadmap for mastering same-day posterior crowns using the iTero Design Suite (IDS) workflow. We will take a deep dive into every step of the process, ensuring you can execute with both simplicity and predictability. Same-day logistics and setup: Move beyond equipment cost concerns and learn how to optimize your office setup, from choosing the right printer and milling unit to securing a robust internet connection. We’ll show you how to delegate the entire manufacturing process to your team, freeing you up to focus on the prep and cementation, making your workflow efficient and fun. Your eventual goal should be 1-2.5 hours for most cases. Proven design workflows: iTero Design Suite, a lite version of the world-class lab software exocad, is a game-changer. We will walk you through the entire wizard workflow, covering everything from drawing the margin and setting the insertion axis to free-forming the restoration with add/remove, smooth, and anatomic tools. Finally, you’ll master the minimal thickness check and adjusting contacts for a perfect fit, every time. Bonding and cementation: Get a high-level overview of material choices (Composite, Glass Ceramics, Zirconia) and their proper post-manufacture processing, including cleaning, curing, polishing, and characterization. We conclude with a deep dive on adhesive dentistry and cementation. The entire curriculum is broken into bite-sized segments, perfect for watching between patients or at the end of the day. Learn from my experience and my mistakes, so you can be up to speed on the latest techniques in no time.
Dr. John Lawrence "J.L." Holliday DMD
I’m Dr. J.L. Holliday, and I’m bringing you all of my knowledge from 14 years of CAD/CAM dentistry. My CADCAM journey spans from my training in dental school, to working in a Navy clinic, and finally running a busy, high-end private practice. As an official speaker for Align Technology and a faculty member for Molis Coaching, I’ve been to the courses, watched the videos, and tried all the techniques. Not only that, but I've spent countless hours learning exocad and how to use it for same-day restorations in my office. Now, I’m packaging that hard-earned expertise right here to help you implement same-day dentistry in a simple and predictable way, so you’re set up for success.
Curriculum
-
1
Foundations & Workflow
- Introduction Free preview
- Why Same-Day Dentistry Free preview
-
(Included in full purchase)
How does design suite help? What is it?
-
(Included in full purchase)
Equipment Setup / Logistics
-
(Included in full purchase)
Material Choices
-
(Included in full purchase)
Appointment Workflow / Scheduling
-
(Included in full purchase)
Preparation Design
-
2
Software & Navigating
-
(Included in full purchase)
Installing / Opening Design Suite
-
(Included in full purchase)
Starting a Case / Material Selection / Margin Settings
-
(Included in full purchase)
Navigating in Exocad (iTero Design Suite)
-
(Included in full purchase)
-
3
Design & Refine
-
(Included in full purchase)
Drawing the Margin
-
(Included in full purchase)
Defining Insertion Axis
-
(Included in full purchase)
Placement of Tooth Model
-
(Included in full purchase)
Shaping with Free Form Tools
-
(Included in full purchase)
-
4
Manufacture & Cement
-
(Included in full purchase)
Loading the File into CAM Software
-
(Included in full purchase)
Manufacturing / Post-Processing
-
(Included in full purchase)
Dental Adhesives 101
-
(Included in full purchase)
Cementation
-
(Included in full purchase)
Enroll today and transform your practice.
Join the Digital Restorative Academy for an initial one-year subscription fee of $495.